范贞律师代理案件,禁止转载
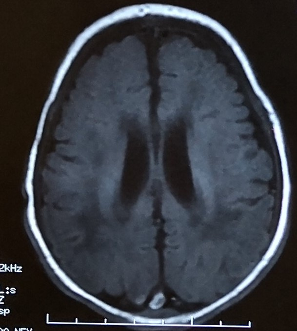
2018年2月24日,孕妇因“停经38+5周,门诊两次胎心监护异常”入住于北京某医院。入院后初步诊断为:胎儿窘迫?;孕38+5周孕2产1LOA;妊娠合并甲状腺功能减退;妊娠合并子宫肌瘤;胎儿单脐动脉。2018年3月2日21:30孕妇自然分娩一名男婴,该男婴出生后,医院考虑其为“新生儿重度窒息、缺氧缺血性脑病、肺炎、呼吸衰竭、酸中毒、多脏器受损”。2018年3月3日至3月28日,孕妇之子转入上级医院进行抢救,主诉:窒息复苏后反应差3小时,医院作出的诊断为:新生儿窒息(重度);新生儿缺氧缺血性脑病;新生儿代谢性酸中毒;新生儿高乳酸血症;新生儿低钾血症;新生儿心肌损伤;新生儿低钙血症;新生儿凝血功能异常;新生儿肺动脉高压;双眼底出血。2018年3月7日,孕妇出院,出院诊断为:胎儿窘迫;妊娠合并甲状腺功能减退;孕39周4天G2P2LOA自娩;妊娠合并子宫肌瘤;新生儿重度窒息;肩难产;新生儿单脐动脉;脐带扭转;球拍状胎盘。2018年4月6日至4月18日,新生儿再次到上级医院就诊,主诉:重度窒息、间断抽搐35天,加重1天,医院最后诊断为:缺氧缺血性脑病(双侧基底节损伤;脑萎缩;癫痫,症状性);上呼吸道感染。2018年4月25日,新生儿死亡。
范贞律师分析材料后认为存在以下措辞:一、胎儿单脐动脉应及早剖宫产:胎儿排畸检查,经过被告和协和医院诊断为:单脐动脉。正常脐带解剖为两条脐动脉,一条脐静脉。如果只有一条脐动脉成为单脐动脉,血流量较正常低近一倍,可以导致胎儿宫内缺氧。医院未在足月及时剖宫产,导致胎儿严重窒息。二、未做骨盆检查。孕妇建档以及入院均未做骨盆检查。三、监护显示缺氧,未及时剖宫产处理,导致新生儿重度窒息、新生儿缺血缺氧性脑病。1、产前监护显示胎儿缺氧:2-24 14:00 -14:12(监护到)开始明显正弦波,显示明显缺氧;2-25 9:17-9:35 基线在160次/分以上,13:21-13:30胎心基本无变异;2-26 12:40-12:50典型正弦波;2-27 7:40前后正弦波;2-28 17:35至17:50正弦波,变异减少:21:40至22点基线160次/分以上。3月1日12:17至12:40、17:30至17:45出现典型正弦波,表明存在胎儿缺氧3月2日7:43至8:02出现典型正弦波,表明存在胎儿缺氧。由于第一产程处理不当,导致第二产程胎心100次/分(9:10)、90次/分(21:15),最低40次/分(见北京市危重新生儿转运病历)。出生后阿氏评分1分钟0分、5分钟2分、10分钟3分。诊断重度窒息、HIE等。四、3月2日21:00宫口开全(录像为证),18:40-21:00宫口开全,中间2个小时20分钟没有阴道检查、没有检查中骨盆以下产道。21:00宫口开全,具体宫口开全时间无法确定。由于胎儿单脐动脉,医院没有增加胎心监测频率。
法院委托对本案进行司法鉴定,被鉴定人于2018年2月24日因“停经38+5周,门诊两次胎心监护异常”入住北京某医院,院方初步考虑胎儿窘迫,并予相关检测及处理,但至3月2日被鉴定人分娩出重度窒息的新生儿。审阅提供的鉴定材料,我们认为北京某医院对被鉴定人诊疗过程中存在如下过错:(1)临产前:自被鉴定人2018年2月24日就诊起,院方予每日胎心监护,审阅提供的胎心监护图,我们发现被鉴定人胎心监护图存在以下异常表现:2月24日13:50-14:00 NST基线变异差,无加速。18:35-18:45,OCT时,基线变异差,但随即出现变异,无减速。2月25日13:20 出现一过性胎心基线无变异。病历记载“吸氧后复查:有反应型”。2月26日9:10-12:50 胎心基线无反应,OCT阴性。2月27日7:40 胎心基线无反应。2月28日17:20-1:50胎心基线无变异,无加速。3月1日12:20-12:40 胎心基线无变异。综上,被鉴定人从2月24日至3月1日长达六天的时间里,其多次胎心监护无变异、无加速,虽经左侧卧位、吸氧等处理,但被鉴定人上述情况并无明显好转,证实其胎儿宫内缺氧持续存在的可能性较大,此时应尽快终止妊娠。但院方多次复查胎心监护,终未作出终止妊娠的决定,故我们认为院方上述医疗行为存在过错。
(2)临产后:经审阅提供的胎心监护图,3月2日7:00-8:00胎心基线无变异;12:20-12:40胎心基线无变异。21:10宫口开全,胎心重度变异减速,证实胎儿宫内窘迫,此时已进入第二产程,院方应立即助产尽快终止妊娠,但直至21:30胎儿才娩出,第二产程中胎儿窘迫达20分钟以上,最终出生后证实其存在新生儿重度窒息、缺血缺氧性脑病等。我们认为院方在被鉴定人宫口开全后未及时助产尽快终止妊娠,加重了胎儿窘迫,其上述行为存在医疗过错。另外,需要指出的是,被鉴定人于3月2日16:00临产,21:10宫口开全,但送审材料中缺少被鉴定人于19:25至21:10此关键时段的胎心监护图,结合21:10胎心重度变异减速,故不排除被鉴定人在19:25至21:10已经存在胎儿宫内窘迫的情况,我们认为院方上述行为不符合诊疗原则、存在医疗过错。(3)单脐动脉问题:被鉴定人经产前检查证实其胎儿单脐动脉,出生后胎儿体重3850g。经检查未发现身体畸形。单脐动脉可能会导致胎儿宫内缺氧,故院方在被鉴定人单脐动脉合并产前多次胎心监护异常的情况下,更应予以足够的注意义务、考虑到胎儿宫内缺氧可能并应尽快终止妊娠。...(5)胎盘性状问题:送审材料中记载被鉴定人莫平莉为球状胎盘。从提供的录像上来看,可见脐带偏心附着,但不能仅凭此录像确定为球状胎盘。球状胎盘对母胎一般无太大影响,被鉴定人即使存在球状胎盘,该问题亦不是导致新生儿重度窒息的主要原因。3.因果关系分析:被鉴定人于2018年4月19日最后一次在上级医院出院,4月25日在家中死亡,其死亡后未进行尸体解剖检验,准确判断其死亡原因存在一定困难。但就本案来讲,被鉴定人出生后即为重度窒息,存在缺氧缺血性脑病、肺炎、呼吸衰竭、代谢性酸中毒并多器脏受损等多种严重损害后果,后又并发脑萎缩、癫痫、纳奶少,虽在上级医院先后两次住院治疗,因其脑缺氧并发症及后遗症严重,后期恢复健康的可能性基本没有。根据被鉴定人的诊疗过程及病情发展变化情况,可以认定被鉴定人死亡应与其重度窒息导致的缺血缺氧性脑病、脑萎缩、癫痫、多脏器功能损害等有明确的因果关系。因北京某医院在对被鉴定人诊疗过程中存在多处过错,未能及时终止妊娠,延误其胎儿窘迫的及时治疗,从而导致被鉴定人重度窒息及缺血缺氧性脑病等,最终死亡。故我们认为北京某医院医疗过错与被鉴定人死亡之间存在因果关系。本例医疗过错的责任程度以同等责任为宜。
庭审中,被告申请对本案进行重新鉴定,原告表示不同意重新鉴定。本院根据双方当事人意见及案件具体情况,决定对被告申请重新鉴定的意见不予准许。
综上所述,依照《中华人民共和国侵权责任法》第五十四条、第五十七条、《最高人民法院关于民事诉讼证据的若干规定》第七十一条之规定,判决如下:一、被告北京某医院于本判决生效之日起十日内赔偿原告医疗费、死亡赔偿金、丧葬费、住院伙食补助费、交通费、营养费、婴儿用品费、护理费、精神损害抚慰金共计694 640.43元。
胆管损伤:违规手术致患者死亡,辽宁医学院附属第一医院赔偿76.9万
手术损伤胰腺:解放军263医院胃癌手术损伤胰腺延误诊疗赔偿案
胆管损伤:丰台医院胆囊结石腹腔镜手术致胆管损伤案
胆管损伤:福建某医院胆囊切除损伤胆管医院承担主要责任
胆管损伤:中国中医科学院望京医院胆囊切除术损伤胆管承担主要责任
肺栓塞:北京京通医院大隐静脉剥脱术致患者肺栓塞死亡承担次要责任

